【眼科技术】警惕糖尿病 “眼” 患!—— 我院成功为糖尿病视网膜病患者实施玻璃体切除手术

近日,龙山五官科医院眼科团队成功为一名患者实施右眼玻璃体切除联合视网膜激光光凝术,帮助患者解除右眼三月余的视物模糊困扰,视力从术前的指数 / 30cm 显著恢复至 0.3,生活质量大幅提升。
据了解,60岁杨女士患有糖尿病10余年,因右眼视物模糊症状持续三月余,严重影响日常生活,患者十分担心,得知我院开展玻璃体腔手术,遂来我院眼科就诊。接诊医生通过详细检查及裂隙灯眼底检查发现:
患者右眼玻璃体腔存在大量积血,眼底无法窥见;同时左眼视网膜出现大量散在性出血及渗出,且有新生血管形成。结合患者既往糖尿病病史,医生初步诊断其为“右眼玻璃体积血、双眼糖尿病性视网膜病变”。于 2026 年 1 月 1 日将其收住入院。
考虑到患者右眼玻璃体积血已有三月余,保守治疗效果有限,且具备明确手术指征。我院眼科团队迅速为患者制定个性化治疗方案。
# 术前相关检查


完善术前各项检查、排除手术禁忌后,于1 月 3 日实施行右眼玻璃体切除加视网膜激光光凝术,手术过程顺利,术后患者恢复良好。

出院前,复查眼底 OCT 检查显示,患者黄斑区仍有较重水肿,但眼部核心病变已得到有效控制,右眼视力较术前大幅提升。
“没想到手术这么顺利,恢复得也快,现在能正常买菜、做家务,太感谢医院了!” 患者的真切反馈,正是技术价值的最佳印证。
虽然杨女士的玻璃体积血问题已通过手术解除,但眼底糖尿病并发症仍需持续关注。告知患者不能掉以轻心,后续还需接受抗 VEGF、激光等进一步治疗,同时严格控制血糖,定期复诊,才能有效保护视功能,防止病情反复。
目前,玻璃体切除术已成为龙山五官科医院眼科常规开展的核心诊疗项目。该技术的成熟应用,不仅显著提升了我院眼科在复杂眼病治疗领域的专业诊疗水平与综合救治能力,更为众多受眼底疾病困扰的患者带来了重见清晰视界的希望。
未来,我院将继续秉承“以病人为中心”的服务理念,持续精进医疗技术、优化诊疗流程、提升服务品质,为更多眼病患者提供更优质、更高效、更贴心的医疗服务,全力守护群众眼部健康。
我院眼科医生特别提醒,糖尿病性视网膜病是糖尿病常见的严重并发症之一,若不及时发现和干预,病情持续进展可能导致视力不可逆下降,甚至失明。


1、什么是糖尿病视网膜病变?
◉糖尿病视网膜病变(DR):是糖尿病常见的微血管并发症,因长期高血糖损伤视网膜血管,引发血管渗漏、水肿、新生血管形成等病变,会逐步影响视力,严重时可导致视网膜脱离、失明,是糖尿病患者致盲的主要原因之一。
2、什么是玻切手术?
◉玻璃体切除:是眼科最复杂的四级手术之一,是用玻璃体切割头进行主要的手术操作,切除混浊的玻璃体,恢复透明的屈光间质、促进视网膜复位,治疗玻璃体、视网膜相关疾病,恢复视功能。

3、视网膜激光光凝术是什么?
◉视网膜激光光凝术:是眼底疾病核心治疗手段,借助激光热效应作用于眼底病变处,使其光凝形成瘢痕,以此封闭 / 破坏缺氧区,有效调控视网膜细胞代谢,减轻水肿渗出与黄斑水肿,改善视网膜供氧,抑制新生血管形成,阻断病变进展,保护视网膜免受进一步损伤。

4、视网膜激光可以治疗哪些眼病?
◉视网膜激光光凝术可以治疗多种视网膜病变。例如一些常见视网膜缺血、缺氧类血管病变;糖尿病性视网膜病变、视网膜静脉阻塞、视网膜血管炎、高血压性视网膜病变。

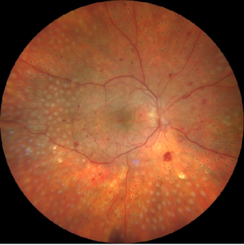
糖尿病性视网膜病变眼底图像

糖尿病性视网膜病变激光光凝治疗术后眼底图像
如果您或家人正受眼部疾病困扰
欢迎到我院眼科门诊就诊咨询
地址:1楼 眼科门诊 / 6楼 眼科病房
电话:0743-2156797(8:00-21:00)
END
供稿 │ 眼科 编辑│ 陈幼灵
一审 │ 眼科 郭敏 二审 │ 陈斌


声明:除原创内容及特别说明外,部分稿件文字及图片来自网络及各大主流媒体,非商业用途,仅用作公益科普,版权归原作者所有。如认为内容侵权,请联系我们删除。